• 骨关节病疾病种类
1、关节退行病变
2、风湿性关节炎
3、半月板损伤
4、骨质增生
5、髌骨软化
6、滑膜炎
  • 骨关节病的症状体征:
视病程不同,症状差别较大,但大多数患者的早期病例并不典型,仅有5%的人有症状。患者多为50岁以上的中、老年患者。本病起病缓慢,无全身症状。通常为多关节发病,也有单关节发病者。受累关节可有持续性隐痛,活动增加时加重,休息后好转。疼痛常不严重,气压降低时加重,故与气候变化有关。有时可有急性疼痛发作,同时有关节僵硬感,偶尔可发现关节内有磨擦音。久坐后关节僵硬加重,但稍活动后反而好转,有人称之为“休息痛”。后期关节肿胀、增大及运动受限,但很少完全强直,一般表现为骨阻滞征。
 
 

 

韩国一个团队的三期临床研究显示,有效率97.67%。疗效与不受患者年龄影响,年龄包括从小于50岁至65岁以上。
---参考数据来源于韩国CARTISTEM
Cartistem是世界上唯一获得国家FDA认证的骨关节炎预防和治疗、人体机能抗衰老药品,自2012年韩国上市,已经治疗了5000多例患者
 
国际上已审批干细胞药品
 
  • 中国在干细胞领域的国际地位
 
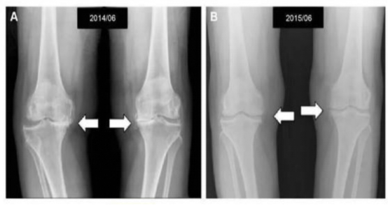
  • 干细胞治疗膝关节病变的影像学改变:



 
1、疼痛缓解:在术后4小时可缓解40%,在5天缓解80%,90天达到90%;
2、运动恢复:起立、下蹲、上楼、下楼功能,恢复75%以上;
3、关节腔积液患者需抽液后做干细胞移植,效果显著,但治疗过程相对延长;
4、关节变形:在治疗后3个月开始,膝关节畸形开始逐步好转。
  • 间充质干细胞、成骨细胞与骨形成的关系:
1、成骨细胞由内外骨膜和骨髓内间充质细胞分化而来;
2、成骨细胞增殖;
3、细胞外基质成熟;
4、细胞外基质矿化;
5、成骨细胞凋亡。

 

骨关节病

Osteoarthropathy

骨关节病是一种退行性病变,由于关节软骨退化、损伤和破坏等引起。60岁以上的人群中患病率可达50%,75岁以上的人群中则达80%,致残率高达53%。我国有1.7亿膝关节病患者。...

扫描二维码分享到微信

在线咨询
联系电话

022-27242726